Skip to content Skip to footer

TEDAVİLER

EL VE KOL KİREÇLENME (ARTROZ)

El ve kol eklemlerinde kireçlenme, eklem yüzeyini oluşturan kıkırdak yapının zamanla bozulmasıyla ortaya çıkan dejeneratif bir durumdur. En sık parmak eklemlerinde, başparmak kökünde ve el bileğinde görülür. Hastalarda ağrı, hareket sırasında hassasiyet, tutukluk ve zamanla şekil değişiklikleri gelişebilir. Kavrama gücünde azalma ve ince işlerde zorlanma da sık karşılaşılan şikayetler arasındadır. Bu durum sadece yaşa bağlı değil, travmalar sonrasında da gelişebilir. Özellikle skafoid kırığı sonrası uygun tedavi edilmezse el bileğinde zamanla kireçlenme ortaya çıkabilir.

Tedavi, şikayetlerin şiddetine ve eklem hasarının derecesine göre planlanır. Erken dönemde aktivite düzenleme, atel kullanımı, egzersiz ve ilaç tedavileri ile rahatlama sağlanabilir. İlerlemiş olgularda ise cerrahi seçenekler gündeme gelir. El bileği ve el eklemlerine yönelik uygulanan cerrahilerle ağrı azaltılabilir ve fonksiyon artırılabilir. Tedavi kişiye özel planlanır ve amaç günlük yaşam kalitesini korumaktır.

Tedavi Türleri

Parmak Eklemlerinde Kireçlenmeler
Skafoid Kaynamama Sebebiyle El Bileği Kireçlenmesi (SNAC)
Skafolunat Bağ Yırtığı Sebepli El Bileği Kireçlenmesi (Slac)
Kienböck Hastalığı
Başparmak Kök Eklem Kireçlenmesi (1.cmc Eklem Artrozu)
El Bileği Kireçlenmesi
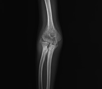
Dirsek Kireçlenmesi
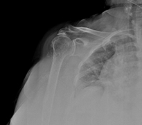
Omuz Kireçlenmesi

Randevu Formu