Skip to content Skip to footer

TEDAVİLER

DİĞER ORTOPEDİ VE TRAVMATOLOJİ HASTALIKLAR

Ortopedik hastalıklar, kas-iskelet sistemini etkileyen ve günlük yaşam kalitesini doğrudan etkileyen rahatsızlıklardır. En sık karşılaşılan sorunlar arasında diz ve kalça ekleminde kireçlenme (gonartroz ve koksartroz), omuzda rotator manşet yırtıkları ve diz bağ yaralanmaları yer alır. Bu hastalıklar, kişinin belli hareketlerini bozar ve hatta yürümesini dahi imkânsız hale getirir. Bu sebeple uygun endikasyonlarda yapılan tedavilerle hastaların yaşam kalitesi oldukça artar.

DİĞER ORTOPEDİ VE TRAVMATOLOJİ HASTALIKLAR
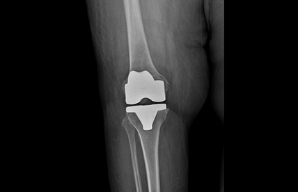
Diz Kireçlenmesi

Gonartroz, diz ekleminde kıkırdak dokunun zamanla aşınmasıyla ortaya çıkan bir hastalıktır. Kıkırdak yüzeyin bozulması sonucu kemikler birbirine daha fazla temas eder ve bu durum ağrı, sertlik ve hareket kısıtlılığına yol açar. Özellikle merdiven çıkarken, uzun süre ayakta kalındığında veya çömelme sırasında ağrı artabilir. İleri evrelerde dizde şişlik ve şekil bozukluğu da görülebilir.

Tedavide amaç ağrıyı azaltmak ve eklem fonksiyonunu korumaktır. Erken dönemde kilo kontrolü, egzersiz, fizik tedavi ve ağrı kesici ilaçlar önerilir. Diz çevresi kaslarının güçlendirilmesi şikayetleri azaltmada önemlidir. Gerektiğinde eklem içine enjeksiyonlar uygulanabilir. İleri evre gonartrozda ise diz protezi ameliyatı oldukça başarılı ve yüz güldürücü bir tedavi seçeneğidir. Uygun hastalarda ağrıyı büyük ölçüde ortadan kaldırır ve hastaların günlük yaşam aktivitelerine geri dönmesini sağlar. Tedavi planı hastanın yaşı, şikayetleri ve hastalığın evresine göre belirlenir.

DİĞER ORTOPEDİ VE TRAVMATOLOJİ HASTALIKLAR
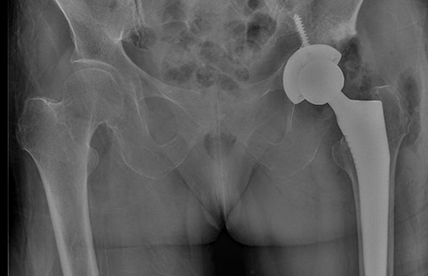
Kalça Kireçlenmesi

Koksartroz, kalça ekleminde bulunan kıkırdak yapının zaman içinde yıpranmasıyla ortaya çıkan bir eklem hastalığıdır. Kıkırdağın incelmesi ve yüzeyin bozulması sonucunda eklem hareketleri sırasında sürtünme artar. Bu durum en sık kasık bölgesinde hissedilen ağrıya, hareketlerde kısıtlanmaya ve yürüyüşte aksamalara neden olur. Hastalık ilerledikçe ağrı sadece hareketle değil, dinlenme sırasında da görülebilir. Özellikle eğilme, çorap giyme veya ayakkabı bağlama gibi günlük aktiviteler zorlaşabilir.

Tedavinin temel amacı ağrıyı kontrol altına almak ve eklem hareketliliğini korumaktır. Başlangıç döneminde kilo kontrolü, düzenli egzersiz ve fizik tedavi uygulamaları ön plandadır. Gerekli durumlarda ağrı kesici ilaçlar ve eklem içi enjeksiyonlardan faydalanılabilir. İleri seviyedeki hastalarda kalça protezi ameliyatı oldukça etkili ve başarılı bir tedavi yöntemidir. Bu ameliyat sayesinde hastaların ağrıları büyük oranda azalır ve günlük yaşam aktiviteleri daha rahat hale gelir. Tedavi, hastanın durumuna göre planlanır.

DİĞER ORTOPEDİ VE TRAVMATOLOJİ HASTALIKLAR
Kemik İltihabı (Osteomyelit)

Osteomyelit, kemik dokusunun genellikle bakterilere bağlı olarak gelişen enfeksiyonudur. Enfeksiyon kan yoluyla kemiğe ulaşabileceği gibi açık yaralanmalar, ameliyatlar veya çevre dokulardaki enfeksiyonlardan da kaynaklanabilir. Etkilenen bölgede ağrı, şişlik, kızarıklık ve ısı artışı görülür; bazı hastalarda ateş ve halsizlik de eşlik edebilir. Tedavi edilmediğinde hastalık kronikleşebilir ve kemikte kalıcı hasar oluşturabilir.

Tedavide erken tanı ve uygun antibiyotik kullanımı büyük önem taşır. Çoğu hastada uzun süreli antibiyotik tedavisi gerekir. Cerrahi tedavi gereken durumlarda, enfekte ve sağlıksız dokular dikkatli şekilde çıkarılır. Bu işlem sonrasında oluşan kemik boşluğu, vücudun kendi kemik dokusu veya uygun greft materyalleri ile doldurularak iyileşme desteklenir. Ayrıca yara bakımı ve enfeksiyon kontrolü tedavinin ayrılmaz bir parçasıdır. Uygun tedavi ile enfeksiyon büyük oranda kontrol altına alınabilir.

DİĞER ORTOPEDİ VE TRAVMATOLOJİ HASTALIKLAR
Diz Kireçlenmesi

Damarlı fibula ameliyatı, bacaktaki fibula kemiğinin damarlarıyla birlikte alınarak kemik kaybı olan bölgeye nakledilmesi işlemidir. Büyük kemik eksiklikleri, kaynamayan kırıklar veya tümör sonrası oluşan kemik boşluklarda uygulanır. Nakledilen kemik mikrocerrahi ile alıcı bölgedeki damarlara bağlanır. Yerleştirilen kemiğin kanlanmasının devam etmesi canlılığını da korumayı sağlar. Böylelikle damarsız olan alınan kemik greftlerine göre daha iyi sonuçlar elde edilir. Zamanla yeni yerine uyum sağlayarak dayanıklı bir kemik haline gelir. Ameliyat süresi uzun ve teknik olarak özelliklidir. Sonrasında hem verici bacak hem de nakil yapılan bölge için takip ve rehabilitasyon gerekir. Uygun hastalarda sağlam ve kalıcı kemik bütünlüğü sağlanabilir.

DİĞER ORTOPEDİ VE TRAVMATOLOJİ HASTALIKLAR
Kalça Avasküler Nekrozu

Kalça avasküler nekrozu, femur başını besleyen kan akımının azalması veya kesilmesi sonucu kemik dokusunun canlılığını kaybetmesiyle ortaya çıkar. Zamanla kemik yapısı zayıflar ve çökme gelişebilir. En sık belirti kasık bölgesinde hissedilen ağrıdır; ağrı yürümekle artar ve ilerleyen dönemlerde istirahatte de devam edebilir. Hastalarda hareket kısıtlılığı ve topallama görülebilir. Travma, uzun süreli kortizon kullanımı ve alkol tüketimi önemli risk faktörleri arasındadır.

Tedavi hastalığın evresine göre planlanır. Erken dönemde yük kısıtlaması, ilaç tedavisi ve kore dekompresyonu gibi cerrahi yöntemler uygulanabilir. Uygun hastalarda damarlı fibula grefti ile yapılan cerrahi, kanlanmayı artırarak kemik dokusunun yeniden iyileşmesine katkı sağlayabilir. İleri evrelerde, özellikle femur başında çökme geliştiğinde kalça protezi ameliyatı oldukça başarılı bir tedavi seçeneğidir. Bu sayede ağrı büyük ölçüde azalır ve hastalar günlük yaşamlarına daha rahat dönebilir.

DİĞER ORTOPEDİ VE TRAVMATOLOJİ HASTALIKLAR
Rotator Manşet Yırtıkları

Rotator manşet, omuz eklemini çevreleyen ve kolun hareketlerini sağlayan kas ve tendon grubudur. Bu yapının yırtılması genellikle yaşa bağlı yıpranma, tekrarlayan zorlanmalar veya travma sonucunda gelişir. Hastalar en sık omuzda ağrı, özellikle kolu yukarı kaldırırken zorlanma ve gece artan ağrıdan şikayet eder. İleri durumlarda güç kaybı ve hareket kısıtlılığı belirgin hale gelebilir.

Tedavi yırtığın boyutuna ve hastanın şikayetlerine göre planlanır. Küçük ve kısmi yırtıklarda istirahat, fizik tedavi ve ağrı kesici ilaçlarla başarılı sonuçlar alınabilir. Omuz kaslarını güçlendirmeye yönelik egzersizler tedavinin önemli bir parçasıdır. Daha büyük veya tam kat yırtıklarda, özellikle günlük yaşamı etkileyen durumlarda cerrahi tedavi gerekebilir. Artroskopik olarak yapılan onarımlar günümüzde oldukça başarılı sonuçlar vermektedir. Uygun tedavi ile hastaların büyük kısmında ağrı azalır ve omuz fonksiyonları belirgin şekilde düzelir.

DİĞER ORTOPEDİ VE TRAVMATOLOJİ HASTALIKLAR
Diz Menisküs Yaralanmaları

Menisküsler, diz ekleminde yer alan ve yük dağılımını sağlayan kıkırdak benzeri yapılardır. Bu yapıların yırtılması genellikle ani dönme hareketleri, spor yaralanmaları veya yaşa bağlı dejenerasyon sonucu oluşur. Hastalar dizde ağrı, takılma hissi, kilitlenme ve şişlik şikayetleriyle başvurur. Özellikle çömelme, merdiven inip çıkma ve ani hareketler sırasında şikayetler artabilir.

Tedavi, yırtığın tipi, yeri ve hastanın yaşına göre planlanır. Küçük ve stabil yırtıklarda istirahat, fizik tedavi ve kas güçlendirme egzersizleri ile iyileşme sağlanabilir. Ancak kilitlenme yapan veya büyük yırtıklarda cerrahi tedavi gerekebilir. Artroskopik yöntemle yapılan menisküs onarımı veya hasarlı kısmın temizlenmesi günümüzde sık uygulanan ve başarılı sonuçlar veren işlemlerdir. Mümkün olan durumlarda menisküsün korunması tercih edilir. Uygun tedavi ile hastalar günlük aktivitelerine ve spor yaşamına geri dönebilir.

DİĞER ORTOPEDİ VE TRAVMATOLOJİ HASTALIKLAR
Diz Ön Çapraz Bağ Yaralanmaları

Menisküsler, diz ekleminde yer alan ve yük dağılımını sağlayan kıkırdak benzeri yapılardır. Bu yapıların yırtılması genellikle ani dönme hareketleri, spor yaralanmaları veya yaşa bağlı dejenerasyon sonucu oluşur. Hastalar dizde ağrı, takılma hissi, kilitlenme ve şişlik şikayetleriyle başvurur. Özellikle çömelme, merdiven inip çıkma ve ani hareketler sırasında şikayetler artabilir.

Tedavi, yırtığın tipi, yeri ve hastanın yaşına göre planlanır. Küçük ve stabil yırtıklarda istirahat, fizik tedavi ve kas güçlendirme egzersizleri ile iyileşme sağlanabilir. Ancak kilitlenme yapan veya büyük yırtıklarda cerrahi tedavi gerekebilir. Artroskopik yöntemle yapılan menisküs onarımı veya hasarlı kısmın temizlenmesi günümüzde sık uygulanan ve başarılı sonuçlar veren işlemlerdir. Mümkün olan durumlarda menisküsün korunması tercih edilir. Uygun tedavi ile hastalar günlük aktivitelerine ve spor yaşamına geri dönebilir.

Randevu Formu