Skip to content Skip to footer

EL VE KOL KİREÇLENME (ARTROZ)
Parmak Eklemlerinde Kireçlenmeler

Parmak eklemlerinde kireçlenme, eklem kıkırdağının zamanla aşınması sonucu ortaya çıkan bir durumdur. Genellikle yaşla birlikte gelişir, ancak geçirilmiş travmalar ve yoğun kullanım da etkili olabilir. Hastalarda ağrı, şişlik, sertlik ve parmaklarda şekil değişikliği görülebilir. Sabah tutukluğu sık bir şikâyettir. Tanı muayene ve röntgen ile konur. Tedavide ağrı kesici ilaçlar, egzersizler, atel kullanımı ve eklem içi enjeksiyonlar uygulanabilir. Şikâyetleri ileri düzeyde olan hastalarda cerrahi seçenekler gündeme gelir.

EL VE KOL KİREÇLENME (ARTROZ)
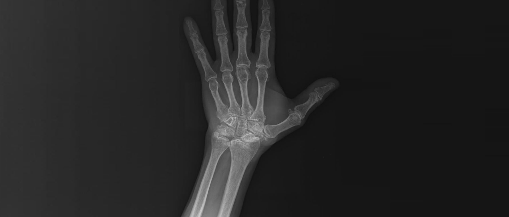
Skafoid Kaynamama Sebebiyle El Bileği Kireçlenmesi (SNAC)

SNAC, skafoid kemiği kırığının kaynamaması sonucu el bileğinde zamanla gelişen kireçlenmedir. Bu durumda bilekte ağrı, hareket kısıtlılığı ve güç kaybı ortaya çıkar. Şikâyetler yıllar içinde artabilir ve yapılacak tedaviler de değişebilir. Tanı muayene ve görüntüleme yöntemleriyle konur. Tedavide hastalığın evresine göre farklı yaklaşımlar uygulanır. Erken evrede skafoid kemiğini kaynatma amaçlı açık ameliyatlara ek radius kemiğinin kireçlenen yüzü tıraşlanabilir. Daha ileri evrelerde ise kısıtlı el bilek kemik kaynaştırma ameliyatı olan dört köşe füzyon ameliyatı ya da el bilek kemiklerinin skafoid kemiğini içeren sıra kemiklerin çıkarılması işlemi olan proksimal sıra karpektomiler uygulanabilir. Çok ileri vakalarda ise el bileği kemiklerinin hepsinin kaynaştırma ameliyatı yapılır.

EL VE KOL KİREÇLENME (ARTROZ)
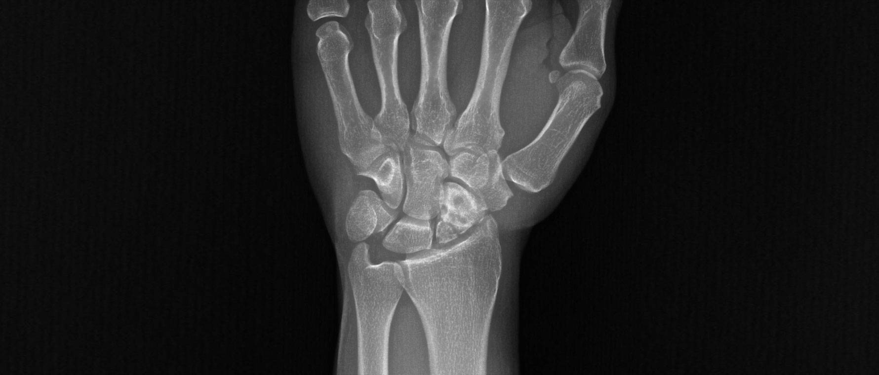
Skafolunat Bağ Yırtığı Sebepli El Bileği Kireçlenmesi (Slac)

SLAC, el bileğinde skafoid ve lunat kemikleri arasındaki bağın yırtılması sonrası gelişen ilerleyici kireçlenmedir. Başlangıçta bilekte ağrı ve güçsüzlük görülür, zamanla hareket kısıtlılığı artar. Günlük işler zorlaşabilir. Tanı muayene ve röntgen ile konur. Tedavi, hastalığın evresine ve hastanın ihtiyaçlarına göre planlanır. Erken dönemde konservatif yöntemler uygulanabilir. İleri evrelerde cerrahi ile ağrıyı azaltan ve hareketi koruyan girişimler tercih edilir. Bunlar arasında, bazı el bilek kemiklerinin kaynaştırıldığı dört köşe füzyon ameliyatı veya skafoid kemiğiyle birlikte üst sıradaki kemiklerin çıkarıldığı proksimal sıra karpektomi yer alır. Çok ileri ve yaygın kireçlenme durumlarında ise, el bileğini tamamen sabitleyen total el bileği füzyonu tercih edilebilir.

EL VE KOL KİREÇLENME (ARTROZ)
Kienböck Hastalığı

Kienböck hastalığı, el bileğindeki lunat kemiğinin kanlanmasının bozulması sonucu zamanla hasar görmesiyle gelişir. Hastalar bilekte ağrı, şişlik ve güç kaybı hisseder. Hastalık ilerledikçe hareket kısıtlılığı ve kireçlenme oluşabilir. Tanı muayene, röntgen ve MR ile konur. Tedavi hastalığın evresine göre değişir. Hastalığın erken evrelerinde amaç, lunatum kemiğindeki hasarın ilerlemesini durdurmak ve el bileğini korumaktır. Bu dönemde el bileği artroskopisi veya açık cerrahi yöntemlerle lunatum içindeki ödem azaltılır ve lunatuma diğer el bileği kemikleri tarafından uygulanan basınç düşürülmeye çalışılır. Lunatumdaki çürüme ileri düzeye ulaşmış, buna kemikte çökme ve parçalanma eşlik ediyorsa, lunatumun çıkarılması ve bazı el bileği kemiklerinin birbirine sabitlenmesi ameliyatı uygulanabilir. Çok ileri olgularda ise ağrıyı kontrol altına almak için tüm el bileğinin kaynaştırılması tercih edilir.

EL VE KOL KİREÇLENME (ARTROZ)
Başparmak Kök Eklem Kireçlenmesi (1.cmc Eklem Artrozu)

Başparmak kök eklem kireçlenmesi, başparmağın bileğe bağlandığı eklemde kıkırdağın aşınmasıyla ortaya çıkar. Özellikle kavrama ve sıkma hareketlerinde ağrıya yol açar. Hastalar kapak açma, anahtar çevirme gibi işlerde zorlanır. Zamanla şekil bozukluğu gelişebilir. Tanı muayene ve röntgen ile konur. Tedavide atel, ilaçlar, egzersiz ve enjeksiyonlar uygulanır. Şikâyetleri ileri düzeyde olan hastalarda cerrahi seçenekler gündeme gelir. Cerrahi artroskopik ya da açık cerrahilerle kireçlenen kemik yüzlerinin tıraşlanması ve başparmak kök eklemini yerinde tutan bağların çevre tendonlarla onarılmasını içerir.

EL VE KOL KİREÇLENME (ARTROZ)
El Bileği Kireçlenmesi

El bileği kireçlenmesi, eklem kıkırdağının aşınması sonucu ağrı ve hareket kısıtlılığıyla seyreden bir hastalıktır. Travmalar, bağ yaralanmaları ve eski kırıklar en sık nedenlerdir. Hastalar bilekte sertlik, şişlik ve güç kaybı tarif eder. Tanı muayene ve görüntüleme ile konur. Tedavide ağrı kesiciler, atel ve fizik tedavi uygulanabilir. El bileği kireçlenmesi ağırlaşmamış hastalarda kısmi olarak el bileği dondurularak hem ağrı hafifletilir hem de el bileği hareketleri kısmi olarak korunur. Buna karşın ilerlemiş hastalarda tüm el bileğinin dondurulması ameliyatı yapılır.

EL VE KOL KİREÇLENME (ARTROZ)
Dirsek Kireçlenmesi

Dirsek kireçlenmesi, eklem yüzeylerinin aşınması sonucu gelişir ve çoğu zaman eski travmalar veya yoğun kullanım sonrası görülür. Hastalarda ağrı, sertlik ve dirseği tam açıp kapatamama şikâyeti olur. Günlük aktiviteler ve iş hayatı etkilenebilir. Tanı muayene ve röntgen ile konur. Tedavide ilaçlar, egzersizler ve enjeksiyonlar uygulanabilir. Dirsek hareketleri 30 dereceden fazla açmada kısıtlılık ve 130 dereceden fazla kapatmada kısıtlılık varsa ameliyat önerilir. Artroskopik ya da açık ameliyatlarla kireçlenmeler temizlenir. Çok kısıtlı hastalarda dirsek protezi ameliyatı uygulanabilir ya da vücuttan alınan doku parçaları ile eklem yüzleri yenilenebilir. İleri ve ağrılı vakalarda ise tedavi dirsek ekleminin dondurulmasıdır.

EL VE KOL KİREÇLENME (ARTROZ)
Omuz Kireçlenmesi

Omuz kireçlenmesi, omuz eklemindeki kıkırdağın zamanla aşınması sonucu gelişir. Hastalar omuzda derin ağrı, hareket kısıtlılığı ve gece ağrısından şikâyet eder. Saç tarama ve giyinme gibi hareketler zorlaşır. Tanı muayene ve röntgen ile konur. Tedavide ilaçlar, fizik tedavi ve enjeksiyonlar uygulanır. Şikâyetleri ileri düzeyde olan hastalarda cerrahi, özellikle omuz protezi seçenekleri gündeme gelir. Tedavinin amacı ağrıyı azaltmak, hareket açıklığını artırmak ve hastanın günlük yaşam kalitesini yükseltmektir.

Tanı ve tedavi süreçleriyle ilgili bilgi almak için iletişime geçebilirsiniz.